View Photo Gallery

Osteoarthritis- diagnosis

How is osteoarthritis diagnosed?

Osteoarthritis is diagnosed with a combination of medical history, physical exam, xrays, labs, and possibly other tests.

Medical history

There are several “clues” a physician looks for in differentiating osteoarthritis from other types of arthritis. For example, in osteoarthritis, the pain usually comes on over time, it is worse at night and with use of the joints, and there is minimal stiffness in the morning.

Although these clues are helpful, they may not be true in every person. For example, some people with rheumatoid arthritis may present with similar symptoms. On the other hand, some people with osteoarthritis may have only some or none of these clues.

Physical Exam

Heberden’s nodes- From operation-pro.de

Although osteoarthritic joints can be warm and swollen, there is usually less swelling in osteoarthritis than some other forms of arthritis like rheumatoid arthritis or gout.

Osteoarthritis can lead to joint deformity. Sometimes the two bones in a joint actually fuse and the joint loses its

flexibility. As the body attempts to repair the damage joints, extra bone may form around the joint causing the joint to get larger and sometimes have “bumps”. These bumps are otherwise known as Heberden’s and Bouchard’s nodes.

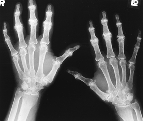
X-Rays

In more advanced osteoarthritis, xrays can show narrowing of the space between two bones and even joint damage characteristic of osteoarthritis.

Labs

Although there is no blood test for osteoarthritis, labs can be done to rule out other forms of arthritis.

Joint Fluid

If there is significant swelling in the joint, examination of the fluid drawn from the joint can help provide another clue. The joint fluid from an osteoarthritic joint has different characteristics from that from a joint with rheumatoid arthritis, infection, or gout.

See also:

http://www.drfirooz.com/osteoarthritis-common-type-arthritis/

http://www.drfirooz.com/osteoarthritis-treatment-diet-surgery/

Reference:

http://www.webmd.com/osteoarthritis/default.htm?names-dropdown=MO

http://www.mayoclinic.org/diseases-conditions/osteoarthritis/basics/definition/con-20014749

https://www.arthritis.org/conditions-treatments/disease-center/osteoarthritis/

https://www.rheumatology.org/practice/clinical/patients/diseases_and_conditions/osteoarthritis.asp

UpToDate